Our Services

TELE REPORTING ECHO SOFTWARE
Image
KALPAK has developed web based , internet based reporting software for cardiologist to report ECHO from anywhere in the world. The images and the videos are uploaded to the portal , and the reporting doctor accesses these images and videos for examination and based on the findings by the doctor a detailed ECHO report is generated. The report informs you about the present conditions of 4 chambers namely left ventricle, right ventricle, left atrium and right atrium. The conditions of 4 valves mainly mitral valve, pulmonary valve, tricuspid valve and aortic valve is also available in this report. Besides this LV motion diagram is available with the markings of all the 17 segments. Report on aorta, pulmonary artery , IVC, Pulmonary vein, Pericardium, left ventricular function, right ventricular function, pericardial effusion, intracardiac clots, intercardiac tumor, interatrial septum , interventricular septum, ejection fraction etc is available which is based on the images and videos of the heart.

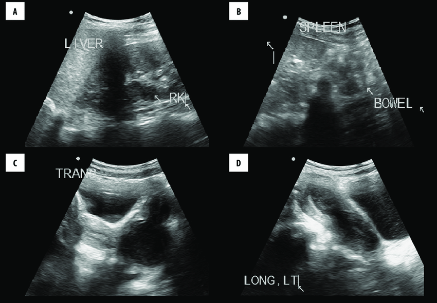
TELE USG REPORTING SOFTWARE
Image
KALPAK has developed web based , internet based reporting software for radiologist to report USG of Abdomen and Pelvis from anywhere in the world. The images and the videos are uploaded to the portal , and the reporting doctor accesses these images and videos for examination and based on the findings by the doctor a detailed USG Abdomen and Pelvis report is generated. The report informs you about the present conditions of various organs like liver, gall bladder, pancreas, left kidney, right kidney, spleen, aorta, IVC, Urinary bladder, uterus, right ovary, left ovary, intestines , EO fluid etc which is based on the images and videos of the of the abdomen and pelvic region..

OTHER IT SYSTEMS
Image
KALPAK has developed web based e-commerce platform, web based patient information system and web based learning management system. Besides these KALPAK is engaged in the development of the websites, portal and the web applications. KALPAK is registered with the CA to sell the class III digital signature both signing and signing and encryption.









ADDRESS:

KALPAK
H. No. 264/69, OM' Bungalow, Plot No. M-22, Gautham Hotel Ln, Alto, Porvorim, Pilern, Goa 403114

Location

Contact-Us

CAPTCHA